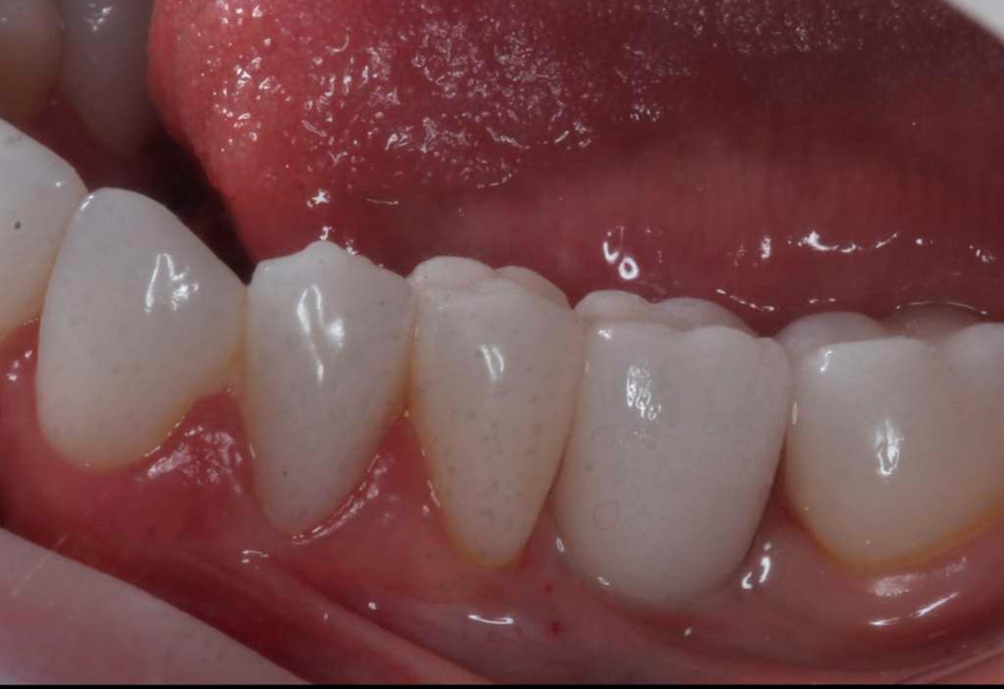
Recupere a liberdade de sorrir e mastigar sem a espera da técnica tradicional. O Protocolo Fenisse une tecnologia 3D sem cortes a dentes fixos imediatos. Saia da clínica no mesmo dia com a segurança, o conforto e a estética de um novo sorriso.
Os tratamentos tradicionais falham ao sujeitar o paciente a meses de espera dolorosa com próteses móveis e desconfortáveis. O Protocolo Fenisse é o antídoto definitivo para essa dor. Através da nossa tecnologia de navegação 3D, realizamos a instalação dos implantes sem cortes, garantindo uma recuperação inicial de apenas 3 a 7 dias e uma osseointegração acelerada em 21 dias. Não entregamos apenas estética; devolvemos a funcionalidade imediata do seu sorriso com absoluto conforto na nossa clínica.
O Protocolo Fenisse substitui a espera dolorosa e a incerteza por previsibilidade e rapidez. Com a inteligência da engenharia digital, planejamos cada detalhe com precisão para realizar a instalação dos seus implantes e da prótese provisória no mesmo dia.Esqueça os tratamentos convencionais intermináveis: a nossa tecnologia garante que você recupere a função mastigatória e a estética do seu sorriso em tempo recorde, saindo com dentes fixos de forma rápida e segura.

Captura e análise de mais de 200 pontos anatômicos para criar um clone digital exato da sua estrutura facial e óssea, eliminando margens de erro.

Simulação digital completa em software avançado que planeja a posição ideal dos implantes e dentes, eliminando qualquer margem de erros durante a cirurgia. O melhor resultado para a estética, biologia e função mastigatória.

Instalação de implantes guiada por computador com precisão milimétrica, dispensando cortes com bisturi ou pontos, o que garante uma recuperação acelerada.

A transformação real sem esperas: você sai da nossa clínica com os implantes e a prótese provisória já instalados, recuperando o sorriso no mesmo dia.
EXCELENTE Com base em 24 avaliações Publicado em Maurício Mestriner04/12/2025Trustindex verifica se a fonte original da avaliação é Google. Tudo perfeito! Ambiente limpo e aconchegante, funcionários dedicados e profissionais maravilhosamente qualificados! Tudo impecável. Parabéns a todos!Publicado em Naty Almeida17/10/2025Trustindex verifica se a fonte original da avaliação é Google. Atendimento impecável, equipe super atenciosa e resultado além do esperado. Recomendo de olhos fechados!Publicado em Elizabeth Benevides27/08/2025Trustindex verifica se a fonte original da avaliação é Google. Excelente atendimento, lugar agradável
Resposta do proprietário
Obrigado, Elizabeth.Publicado em Cleide Neiva20/08/2025Trustindex verifica se a fonte original da avaliação é Google. Sempre fui muito bem recebida, desde a recepção até os cuidados dos dentistas. Já fiz alguns procedimentos, fui assistida e foi tudo bem sucedido, o profissional é competente e atencioso com a gente. Agradeço muito pela atenção e carinho. Super indico esta clínica.
Resposta do proprietário
Obrigado, Cleide.Publicado em Vagner Coelho03/08/2025Trustindex verifica se a fonte original da avaliação é Google. Muito bom saber que temos na cidade uma clínica com tecnologia de ponta, excelência e principalmente com profissionais tão capacitados quanto atenciosos. Além do atendimento e atenção que são especiais. Já precisei fora do horário, um final de semana e como sou paciente o Dr Luiz gentilmente conseguiu me atender. Sou paciente e fã da clínica, se quiserem algo de primeira na região de Jundiaí e Campinas, super recomendo, aliás até de São Paulo, pois são referência! Super recomendo !!!
Resposta do proprietário
Muito obrigado, Vagner. Ficamos felizes em saber que nossa missão é realizada com excelência.Publicado em Edilaine Lopes Ferreira da Silva20/08/2024Trustindex verifica se a fonte original da avaliação é Google. Muito bom... Excelentes profissionais. 🥰
Resposta do proprietário
Muito Obrigado, Edilaine. Estaremos sempre buscando aprimorar ainda mais nosso atendimento.Publicado em Clarice Oliveira03/03/2023Trustindex verifica se a fonte original da avaliação é Google. Excelente atendimento do início ao fim do tratamento, com os melhores profissionais de Jundiaí. ♥️
Resposta do proprietário
Obrigado pela confiança e estamos felizes em estar cumprindo nossa missão de gerar sorrisos de satisfação!Publicado em Fernando Santos08/01/2021Trustindex verifica se a fonte original da avaliação é Google. Uma das melhores clínicas, senão for a melhor de Jundiai.
Resposta do proprietário
Obrigado, Fernando.Publicado em Julia Lenci03/05/2019Trustindex verifica se a fonte original da avaliação é Google. Atendimento maravilhoso, profissionais capacitados, tecnologia de ponta pensando sempre no melhor para o paciente...nota millllll!!!!!!!!
Resposta do proprietário
Obrigado, Julia.Publicado em Joao Neto Sinval28/04/2019Trustindex verifica se a fonte original da avaliação é Google. Perfeito
Resposta do proprietário
Obrigado, João.


Desconstruímos a ideia de que tratamentos complexos precisam ser exaustivos. No Protocolo Fenisse, você vivencia o Dia da Estrela: uma jornada de cuidado integral em um ambiente que remete à hotelaria de luxo. Com o suporte da Sedação Allivio, o tempo flui com serenidade, eliminando qualquer ansiedade. Desfrute de suítes privativas e um serviço de concierge dedicado, garantindo que sua única tarefa seja relaxar com total segurança.
O Protocolo Fenisse representa um investimento em sua imagem e autoconfiança. Para garantir a longevidade desta obra de arte, oferecemos a Garantia Aura 3+3. São três anos de cobertura técnica total aliados a três anos de cuidados preventivos inclusos. Nosso compromisso é zelar pela sustentabilidade do seu resultado com um planejamento sistêmico e visão facial.
Proteja o seu investimento com a segurança de trinta anos de experiência.